E' successo in Brianza

Spara a una colonia felina, un gatto ucciso e uno ferito

A denunciare l'accaduto è stata una volontaria di Vimercate.

Spara a una colonia felina, un gatto ucciso e uno ferito

Spara a una colonia felina con un’arma ad aria compressa: un gatto ucciso, uno ferito e uno scappato e scomparso. Il gravissimo episodio è accaduto nei giorni scorsi a Vimercate.

Gatto ucciso con un’arma ad aria compressa

Il gravissimo episodio, raccontato da Primamonza.it, è accaduto nei giorni scorsi nella zona di via Tommaseo, a Moriano , a ridosso della Bananina. A finire letteralmente nel mirino di un fucile o di una pistola ad aria compressa sono stati i felini di una colonia regolarmente registrata ad Ats, e di fatto di proprietà del Comune come prevede la normativa, ospitata all’interno del cortile di un’azienda. A prendersene cura è Antonella, gattara e volontaria dell’associazione «Amico gatto», che da anni opera in collaborazione con l’Amministrazione comunale.

«A distanza di giorni siamo ancora sconvolti e non riusciamo a darci una spiegazione per quanto accaduto – ha raccontato – Alcuni giorni fa recandomi sul posto come faccio due volte al giorno per dare da mangiare e accudire i gatti della colonia, ho notato che Jerry, il micio storico del gruppo e anche quello più “domestico”, rintanato nella cuccia. Un comportamento insolito. Mi sono avvicinata e ho visto che era molto sofferente».

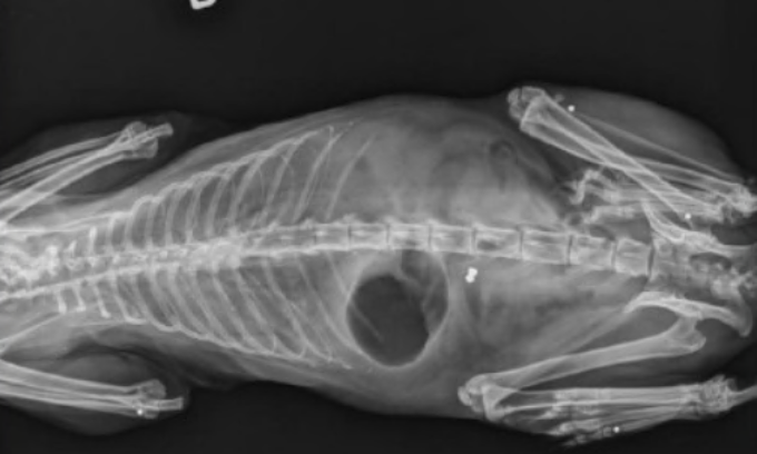
La volontaria si è anche accorta di alcuni segni sul corpo. Lo ha quindi preso e subito portato dal veterinario. E’ bastata una radiografia per scoprire che Jerry aveva in corpo, all’altezza del petto, un piccolo proiettile e altri piombini nelle zampe. Chi ha sparato, quindi, lo ha fatto più volte e con il preciso intento di uccidere. Il medico ha tentato di tutto per salvarlo ma dopo cinque giorni di agonia il gatto è morto.

Nel frattempo Antonella è riuscita ad avvicinare altri componenti della colonia scoprendo che un altro micio, Tommy, presentava uno strano segno in testa, tra i peli, conseguenza probabilmente di un colpo di striscio: mentre la micia Mammina sembrava avere una ferita al collo. «Brioche invece non si vede ormai da giorni – ha aggiunto la volontaria – Speriamo che anche a lei non sia accaduto il peggio».

La volontaria ha sporto denuncia

Antonella ha subito presentato denuncia ai carabinieri, ma non si dà pace di quanto accaduto. Anche perché non si spiega come l’autore del terribile gesto abbia avuto accesso al cortile dell’azienda. Dalla strada, infatti, la zona in cui i gatti sono ricoverati, non è visibile. «E’ incredibile e inaudito che nel 2022 succedano questi gravi fatti – ha scritto in un volantino che è stato affisso su alcuni pali e distribuito per mettere in guardia i possessori di gatti e in generale di animali domestici – Speriamo solo di rendere giustizia al nostro Jerry, un gatto buono, coccolone e dolcissimo. Se avete animali in giardino vi consigliamo di stare molto attenti perché solo individui non sani di mente possono aver fatto una cosa simile».